Britons issued cancer warning over common medication after father's tragic death

The Briton's family is urging people on long-term reflux medication to push for proper checks
Don't Miss
Most Read
Latest
A Welsh family is urging Britons on long-term reflux medication to seek proper screening after losing their father to oesophageal cancer last autumn.
Evan Kinsey, 74, passed away on September 27, 2024, merely eight weeks following his stage 4 diagnosis.
The former deputy headteacher and PE instructor from Merthyr Tydfil had spent his life between the classroom and the hill farm where he was raised, tending sheep on the rugged terrain. His daughter Emily has now chosen to share his story publicly.
"If sharing Dad's journey helps even one other family recognise the signs sooner, ask more questions, or push for answers, then his voice will continue to be heard through ours," she said.
TRENDING
Stories
Videos
Your Say

Evan passed away just four weeks after his diagnosis
|GETTY
Mr Kinsey had managed his acid reflux for years using Ranitidine, a commonly prescribed medication.
But when that drug was withdrawn from the market, he switched to Lansoprazole to control his symptoms and depended on these pharmaceuticals to keep discomfort manageable.
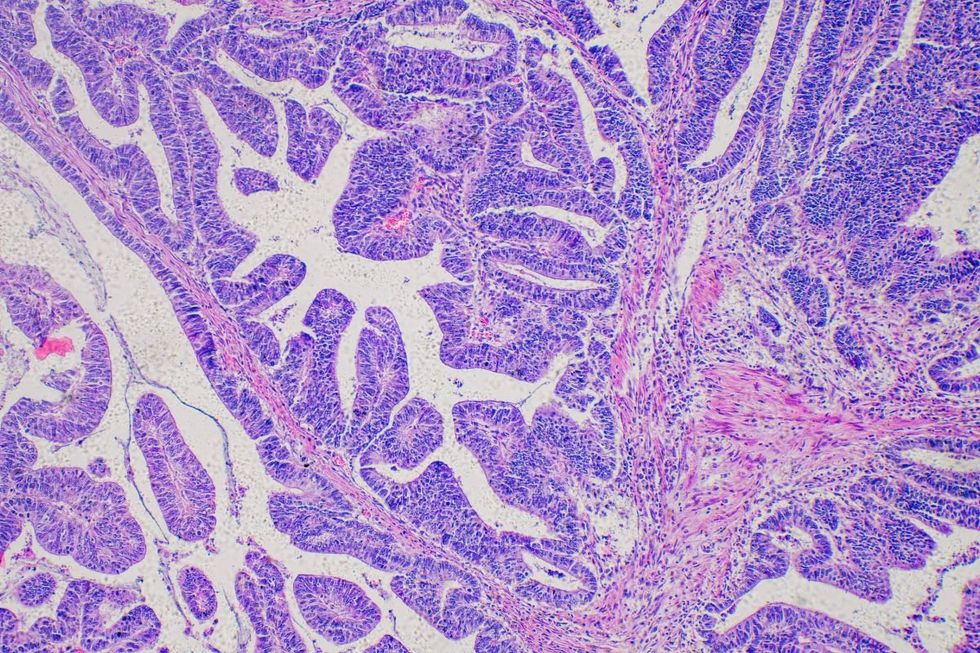
What the family did not realise, however, was that the medication may have been concealing Barrett's Oesophagus – a condition that can develop into cancer of the food pipe.
LATEST DEVELOPMENTS
The tablets were effectively suppressing the warning signs that might otherwise have prompted earlier investigation.
By May 2024, the 73-year-old began deteriorating noticeably, with fatigue setting in and his weight starting to fall away rapidly.
His family grew increasingly concerned, yet medical professionals initially attributed these symptoms to recovery from a minor heart attack he had suffered three months earlier in February.
It was not until late July that Emily demanded further investigation into her father's condition.
The situation escalated dramatically when Mr Kinsey arrived at A&E in early August, suffering from dangerously low blood pressure.
A CT scan delivered the news that the cancer had already reached stage 4 and spread to his liver, leading to a six-week wait for an "urgent" endoscopy.
Mr Kinsey spent his final weeks at home, the place he cherished most, receiving palliative radiotherapy and blood transfusions to manage bleeding.

Barrett's Oesophagus can lead to oesophageal cancer
|GETTY
His family now implores others to heed three crucial warnings and advises anyone taking reflux medication long-term to get an endoscopy to screen for Barrett's Oesophagus.
Unexplained weight loss and persistent tiredness should never be dismissed, regardless of other recent health issues.
Finally, patients must remain persistent when facing lengthy waits for supposedly urgent referrals, as oesophageal cancer moves swiftly and aggressively.
Time, the family stresses, is the one commodity patients cannot afford to squander.
Our Standards: The GB News Editorial Charter










