Biden warns 'everybody' should be concerned about monkeypox outbreak
US President Joe Biden said health officials are researching possible vaccines as monkeypox cases increase
Don't Miss
Most Read
Latest
The monkeypox outbreak is something "everybody should be concerned about," US President Joe Biden said on Sunday, adding that US health officials are looking into possible treatments and vaccines.
"We’re working on it hard to figure out what we do," Biden told reporters at an air base in South Korea before departing on Air Force One for Japan.
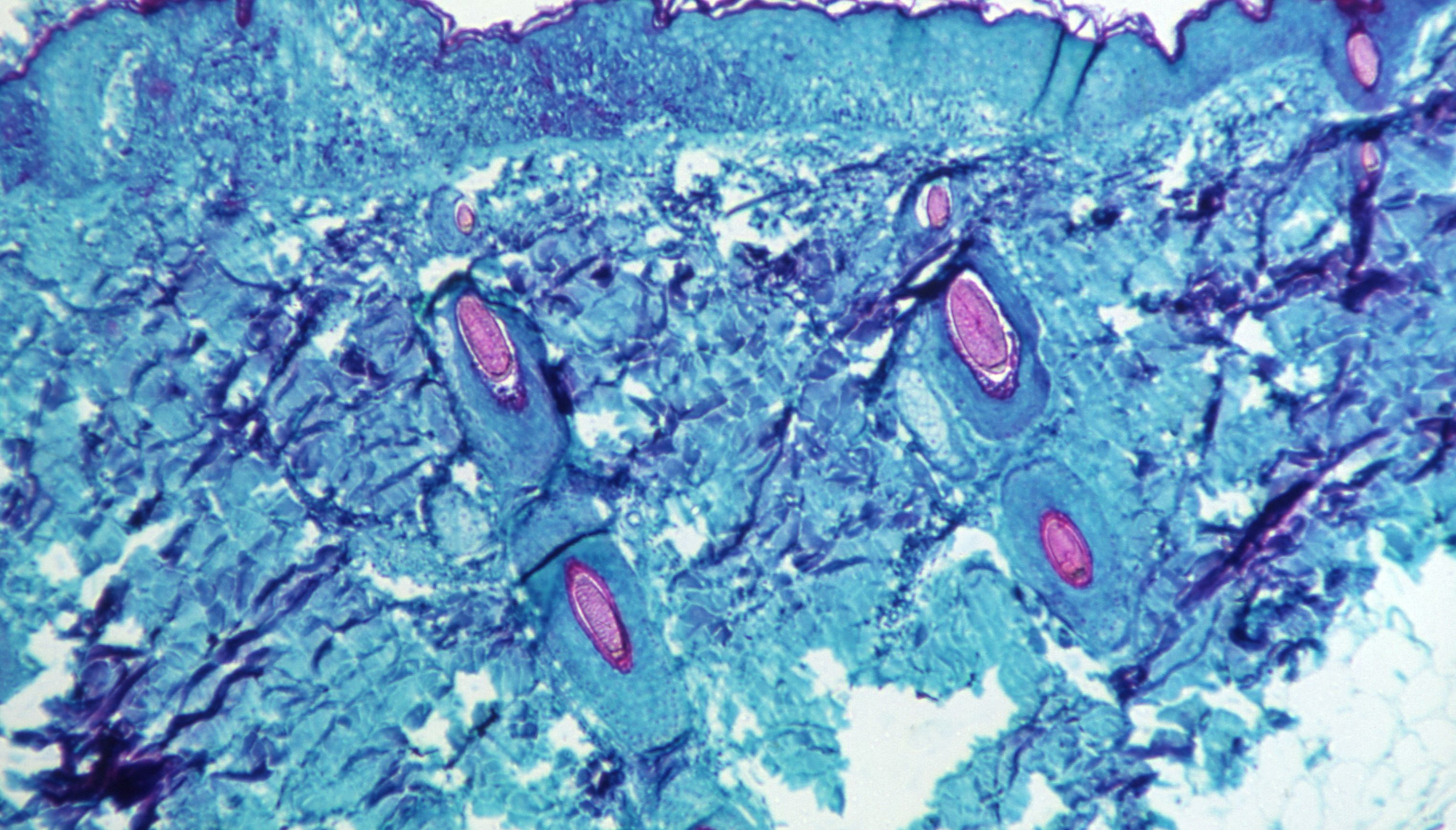
A section of skin tissue, harvested from a lesion on the skin of a monkey, that had been infected with monkeypox
CDC
Dr Susan Hopkins, a chief medical adviser of the UK Health Security Agency (UKHSA), said there is “absolutely” community transmission of monkeypox in the UK.
Monkeypox
WHO/Nigeria Centre for Disease Control
UKHSA has so far confirmed 20 cases in the UK.
She also said cases have been predominantly confirmed in individuals who self-identify as gay or bisexual.
Speaking to BBC One’s Sunday Morning, she said: “Absolutely, we are finding cases that have no identified contact with an individual from west Africa, which is what we’ve seen previously in this country.
“The community transmission is largely centred in urban areas and we are predominantly seeing it in individuals who self-identify as gay or bisexual, or other men who have sex with men.”
Asked why it is being found in that demographic, she said: “That’s because of the frequent close contacts they may have.
“We would recommend to anyone who’s having changes in sex partners regularly or having close contact with individuals that they don’t know to come forward if they develop a rash.”












