Cancer breakthrough as game-changing vaccine attacks aggressive tumour within 48 hours: 'New paradigm'

New mRNA vaccine attacked lethal brain tumour within 48 hours of being administered in the first human trial
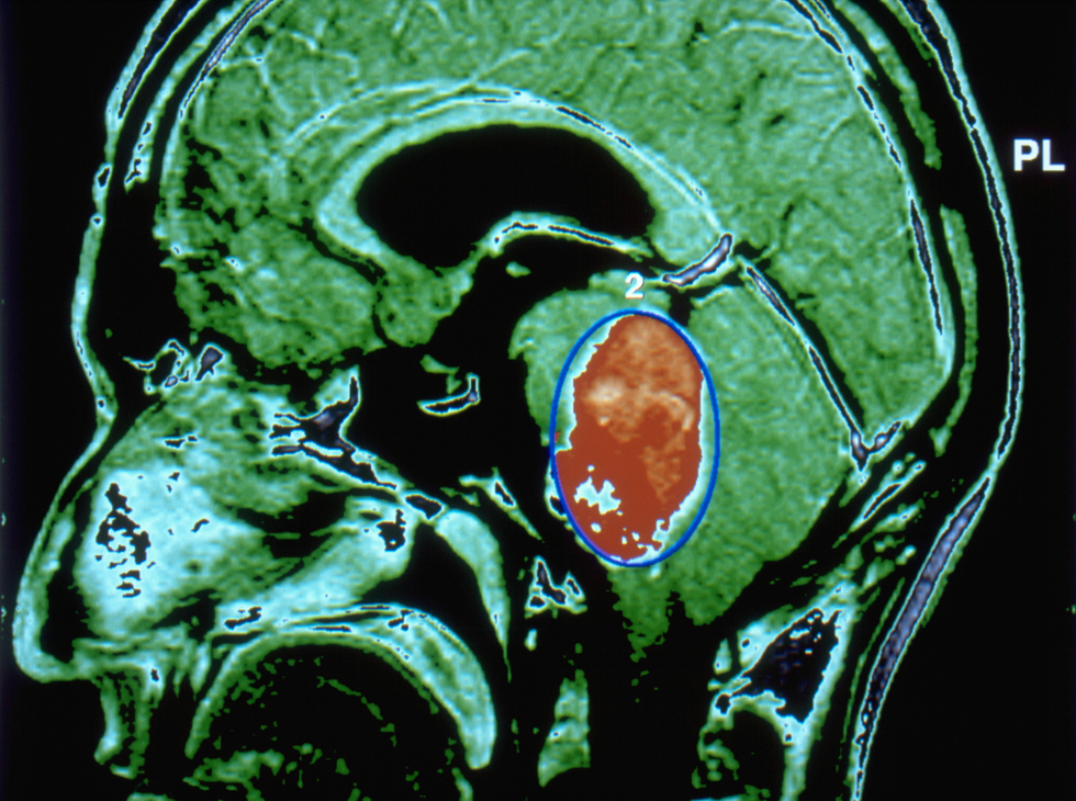
|Getty Images

- New personalised jab triggers the immune system to fight deadly brain tumours
- The mRNA vaccine attacked the cancer within 48 hours in the first human trial
- Scientists say the breakthrough could pave the way for a cure
Don't Miss
Most Read
The first human trial of a personalised brain cancer jab activated the immune system to attack the most lethal and aggressive form of the disease.
The mRNA vaccine, tested on just four patients, triggered a strong immune response to fight malignant glioblastoma within 48 hours of being administered.
The breakthrough means scientists will now be able to test the vaccine, which was developed by researchers from the University of Florida, on a larger group of brain cancer patients. Some 24 people will be recruited to the next part of the trial.
Senior author Elias Sayour, a UF Health paediatric oncologist who pioneered the vaccine, said: “In less than 48 hours, we could see these tumours shifting from what we refer to as ‘cold’ – immune cold, very few immune cells, very silenced immune response – to ‘hot’, very active immune response.

The breakthrough means scientists will now be able to test the vaccine on a larger group of brain cancer patients
|Getty Images
“That was very surprising given how quick this happened, and what that told us is we were able to activate the early part of the immune system very rapidly against these cancers, and that’s critical to unlock the later effects of the immune response.”
Glioblastoma has an average survival of around 15 months, and the current standard of care involves surgery, radiation and some combination of chemotherapy.
Researchers say the discovery represents a potential new way to activate the immune system to fight notoriously treatment-resistant cancers using an iteration of mRNA technology similar to Covid-19 vaccines.
However, there are two key differences, the use of a patient’s own tumour cells to create a personalised vaccine, and a newly engineered complex delivery mechanism within the vaccine.
In the group of four patients, genetic material called RNA was extracted from each patient’s own tumour, and then messenger RNA, or mRNA – the blueprint of what is inside every cell, including tumour cells – was amplified.
It was then wrapped in the newly designed vaccine to make tumour cells look like a dangerous virus when reinjected into the bloodstream and prompt an immune-system response.
The results of the trial mirror those in 10 pet dog patients suffering from naturally occurring brain tumours, and of clinical trials in mice.
Although it is too early to assess the clinical effects of the vaccine, the patients in the new trial either lived disease-free longer than expected or survived longer than expected.
Doctor Sayour said: “I am hopeful that this could be a new paradigm for how we treat patients, a new platform technology for how we can modulate the immune system.
“I am hopeful for how this could now synergize with other immunotherapies and perhaps unlock those immunotherapies.
“We showed in this paper that you actually can have synergy with other types of immunotherapies, so maybe now we can have a combination approach of immunotherapy.
LATEST DEVELOPMENTS

The jab also has the potential to stop lung, bladder and kidney cancer
|Getty Images
The research is published in the journal Cell, and comes after the trial for the world’s first personalised mRNA cancer jab for melanoma was announced.
The jab – which also has the potential to stop lung, bladder and kidney cancer – is being tested in British patients and offers hope of a cure.
It is custom-built for each person in just a few weeks, and works by telling the body to hunt down cancer cells and prevent the deadly disease from coming back.
A stage 2 trial of the jab, involving pharma firms Moderna and MSD, found it dramatically reduced the risk of the cancer returning in melanoma patients.
Now a final phase 3 trial has been launched, led by University College London Hospitals NHS Foundation Trust.










